Pneumonie du Lobe Superieur Droit de face
|
Pneumonie du Lobe Superieur Droit de profil
|
|||
![]() |
![]() |
|||
Pneumonie du lobe moyen droit de face |
Pneumonie du lobe moyen droit de profil |
|||
![]() |
![]() |
|||
Pneumonie lobaire inférieure droite de face |
Pneumonie lobaire inférieure droite de profil |
|||
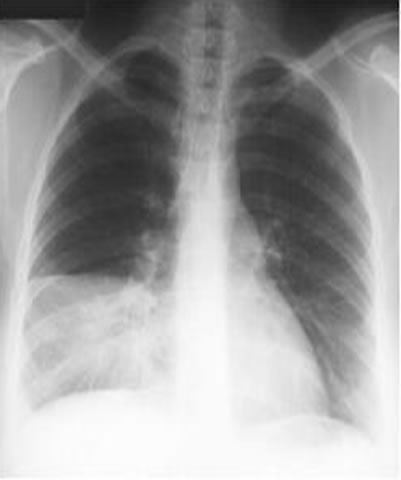
Pneumonie lobaire inférieure gauche de face |
Pneumonie lobaire inférieure gauche de profil |